3ページ目(3ページ中) | 〈タレント高坂友衣さんの妊活〉地元・青森で治療開始!人工授精→体外受精へとステップアップして【中編】
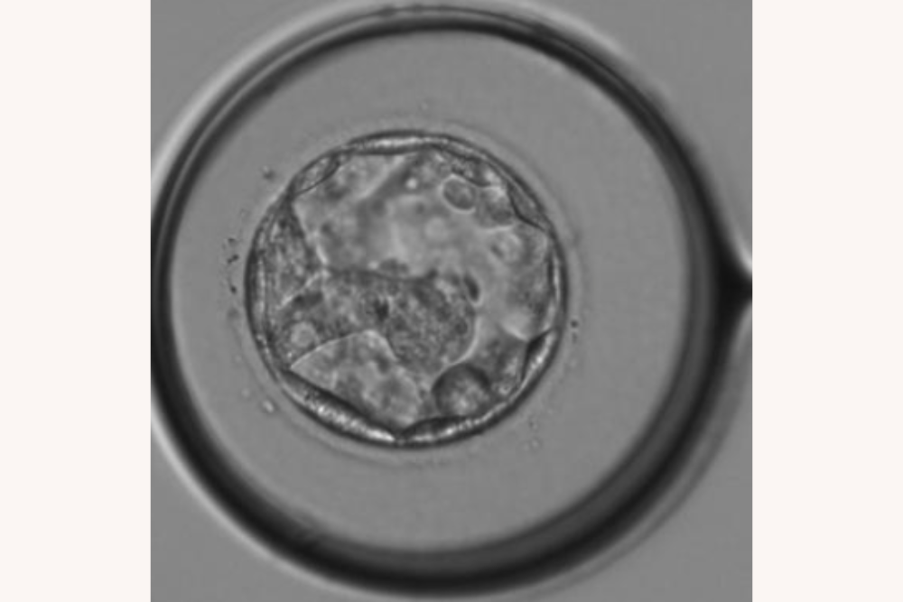
受精卵の成長を見られるのは体外受精の特権
2つできた胚盤胞のうち、体外受精のほうが4AB、顕微授精のほうが3CCというグレードで、4ABの胚盤胞を移植して妊娠することができました。
たまたま移植後に東京で仕事があったのですが、当時はまだコロナ禍で、通っていた病院では、緊急事態宣言が出ている地域に行くとその後2週間は自宅待機で院内に入れないというルールがありました。受診できなかったので自宅で市販の妊娠検査薬を使ってみたら、結果は陰性。そこですっかりあきらめていました。
でも、数日後に再び妊娠検査薬を試したら、なんと陽性!そして翌日、病院で正式に妊娠判定をいただき、そこでようやく安心することができました。
体外受精にステップアップしてよかったことは、受精の時点から細胞分裂して成長していく過程を見ることができたこと。移植のときもモニターで胚盤胞が子宮に入る様子を見せてもらい、感動しました。
不妊治療を経験したことで、子どもを授かることは奇跡で、そこから無事に出産できることも本当に奇跡なんだということを実感しました。

体外受精をしたから見ることができた、受精卵。
東京→青森、授かるまでにかかった金額
不妊治療にかかった費用は73万円で、保険適用前だったので助成金を使いました。そもそも不妊検査に行ったのも、東京都では検査に助成金がおりるから受けてみようと思ったのがきっかけ。青森県では検査には助成金がおりなかったので、もしかしたらそのタイミングで青森に住んでいたら検査は受けていなかったかもしれません。
不妊治療をいつまでするという期限はとくに決めていませんでしたが、当時の助成金制度では体外受精の回数の上限が決まっていたので、私としてはそれがひとつの区切りだと思っていました。夫は、私がもうやめたいと言えば、その意志を尊重してくれたと思います。
2022年4月から不妊治療の保険診療が始まりました。高額な治療費の負担が以前より減ったことで不妊治療のハードルが下がったことは、本当によかったと思います。

おもしろマタニティフォト(左)と普通のマタニティフォト(右)。
インタビュー続きを読む>>「子どもはまだ?」 無神経だった私が不妊治療を経験して学んだこと【後編】
PROFILE●高坂友衣(こうさか・ゆい)さん

1985年8月28日生まれ。青森県出身。2005年に幼稚園からの幼馴染、高田千尋さんとお笑いコンビ「ばーん」を結成。津軽弁のコントで人気を博す。2026年に11歳年上の元お笑い芸人との結婚を発表。2021年にコンビを解散したあとは、青森にUターン移住。地元の青森で芸人やタレントとして活動し、青森市移住PR大使にも就任。食育インストラクターや野菜ソムリエの資格を活かし、移住予定者向けの郷土料理レッスンも行っている。2022年に第1子となる女の子を出産。Instagram▶@yui_kosaka828
取材・文/岩村優子 画像提供/高坂友衣さん
〈あわせて読みたい記事〉
・〈郡司りかさんの妊活〉避妊をやめたら妊娠すると思っていた。不妊治療クリニック探しも難航して【前編】
・【菊地亜美さんの2人目妊活】妊活開始後に判明した多嚢胞性卵巣症候群、そして二度めの流産〈前編〉
・【堀まゆみさんの妊活記】40歳からの2人目妊活。自費診療、PGT-A、これで最後と決めて〈後編〉
\\あかほしイベント開催決定!//
あかほし会員さま1万人突破記念!【見て、触れて、試せる。あかほし妊活アイテム体験イベント】の開催が決定しました。妊活・不妊治療に関するさまざまな商品やサービスに触れて、実際に体験できるタッチアップイベントに、あかほし会員さまを無料でご招待します。

参加申し込みスタートしています!詳細ページをチェック♪
▶▶▶Dream Ayaさん登壇!11月29日〈見て、触れて、試せる。 あかほし妊活アイテム体験イベント〉開催します
\\あかほし会員にプレゼント♡//

あかほし会員になると妊活情報誌がゲットできる!
\順次お届け中/
●舟山久美子さんが表紙の『赤ちゃんが欲しい2025』
詳細はコチラ▶『あかほし会員登録(無料)ページ』
新規会員登録、アンケートより住所を登録ください。登録いただいた住所にお送りします。
※お送りのスケジュールはこちらを確認ください
![]()
※認証コードのメールが届かない場合、「迷惑フォルダ」「削除フォルダ」「スパムフォルダ」等に自動的に振り分けられてしまうことがありますので、ご確認ください。
ログイン後、アンケートより送付先の住所登録をお忘れなく。
『赤ちゃんが欲しい(あかほし)』は、主婦の友社が運営する妊活・不妊治療のお悩み解決メディア。ドクターや専門家監修の信頼コンテンツを中心に「妊娠したい」を全力サポートします。全国のクリニックや施設の検索もラクラク。
- 24時間
- 月間
-
1【2025年】女の子の珍しい名前740選!キラキラネームじゃない、かわいい&おしゃれな名付けアイデア2【2025年】男の子の珍しい&かぶらない名前!古風・かっこいい名付けアイデア3古風・和風な男の子の名前を厳選!かっこいい・おしゃれな名付け例3524【排卵日検査薬】写真つきリアル体験談!実際に使ってみてどうだった?妊娠しましたレポートも5医学的根拠に基づいた「男の子」産み分け成功ポイントを解説!【産婦人科医監修】6妊活情報誌もらえる!あかほし会員登録(無料)しませんか?うれしい特典がいっぱい【赤ちゃんが欲しい】74月生まれなら、いつ妊娠?私の妊活逆算カレンダー【4月出産ママになる】8【全国おすすめ子宝祈願】2025年絶対行くべき最強子宝スポット20選〜妊娠しましたレポ続々!9死産の原因や兆候とは?予防法は?また妊娠できるの?〜産科医歴45年の浦野理事長「お母さんのせいではありません」〜10【大島美幸さん2人目妊活記】8年ぶり42歳の妊活は体外受精から。年齢の壁を痛感した流産【前編】
-
1【2025年】女の子の珍しい名前740選!キラキラネームじゃない、かわいい&おしゃれな名付けアイデア2〈仁科克基さんの男性妊活〉閉塞性無精子症の手術を経て、夫婦二人三脚で挑んだ不妊治療【中編】3【2025年】男の子の珍しい&かぶらない名前!古風・かっこいい名付けアイデア4【全国おすすめ子宝祈願】2025年絶対行くべき最強子宝スポット20選〜妊娠しましたレポ続々!5【排卵日検査薬】写真つきリアル体験談!実際に使ってみてどうだった?妊娠しましたレポートも6Dream Ayaさん登壇!11月29日〈見て、触れて、試せる。 あかほし妊活アイテム体験イベント〉開催します7医学的根拠に基づいた「男の子」産み分け成功ポイントを解説!【産婦人科医監修】8〈郡司りかさんの妊活〉結婚から9年、ママになります!不妊治療で授かれたことが、とても誇らしい【後編】9妊活情報誌もらえる!あかほし会員登録(無料)しませんか?うれしい特典がいっぱい【赤ちゃんが欲しい】104月生まれなら、いつ妊娠?私の妊活逆算カレンダー【4月出産ママになる】










